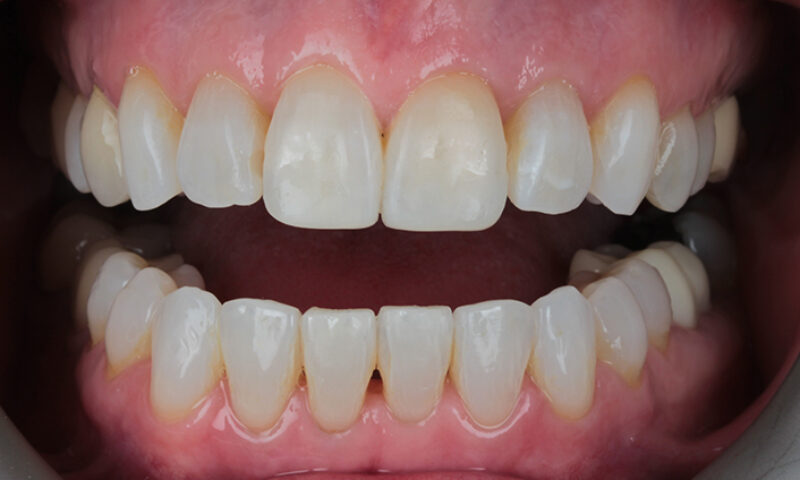
A smile with a healthy shade should be achievable for everyone.

With Enlighten and Boutique teeth whitening, this is possible.

Introduction to Teeth Whitening

  • Market-leading brands used (Enlighten and Boutique).
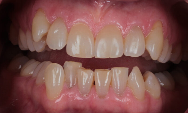
  • Reverse tooth discolouration (even very discoloured teeth can be transformed).
  • Feel more confident about your teeth when you smile.
  • Feel more comfortable speaking to others and appearing in photos.
  • Non-invasive cosmetic treatment for whitening your teeth.
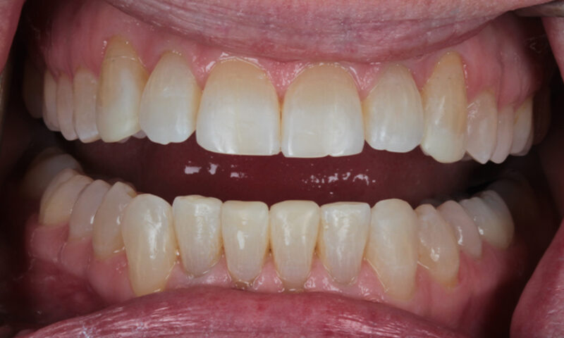
  • Whiten your teeth by up to 16 shades.

Teeth Whitening In a Nutshell

Professional teeth whitening uses bespoke whitening trays and hydrogen and carbamide peroxide gels to safely whiten teeth. Our at-home whitening systems from Enlighten and Boutique are two of the most revered on the market (our own dentists use them on their own teeth!).

Why Our Patients Love Teeth Whitening

  • Dentist-supervised teeth whitening is safe.
  • Boutique and Enlighten at-home whitening yields the most enduring results (versus in-chair whitening and home whitening strips).
  • Easy treatment that fits around your lifestyle.
  • Bespoke whitening trays you can keep for future whitening treatment.

Your Treatment Journey

Consultation
Before any elective treatment like teeth whitening, we will undertake an examination of your teeth. Your dentist will check for signs of decay and gum disease, which will require treatment prior to teeth whitening.

If you are suitable, your dentist will use the digital scanner to acquire measurements of your teeth. These are sent to your chosen whitening establishment (Enlighten or Boutique), where your whitening trays are created.

Teeth Whitening Period
You are now ready to start wearing your whitening trays at home. You can choose to wear your trays day or night (or a combination of the two). Your dentist will give you clear instructions on how to apply the whitening gel to each groove in your whitening trays.

Treatment Review
Your dentist will ask you to come in for a review. This will be between 5 and 14 days, depending on your expectations of treatment and how discoloured your teeth were prior to beginning with the gels and whitening trays.

Your dentist may recommend a few extra days of whitening if the desired outcome has not yet been achieved.

Our Promise

When you choose Lakewood Dental for your cosmetic dental treatment, you are putting your oral care in the hands of professionals who truly love what they do.

We love the care and marriage of science and craftsmanship that accompanies planning bespoke crown cases. Most of all, we love to see the confidence and improved sense of well-being that our patients feel when they have their teeth restored to a healthy shade.

We believe in continuously finding treatment methods that make life easier for our patients. Ultimately, making our patients happy is the foundation of what we do and why we do what we do. Our practice is an oasis of high-quality dentistry where you can learn how to maximise the results of treatments like teeth whitening so that you’re getting value for money each time you come and see us.

FAQs

Enlighten or Boutique whitening – which is right for me?

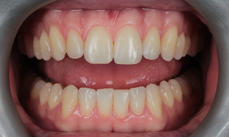
Both Enlighten and Boutique are excellent options for improving your tooth shade. However, patients who want to whiten their teeth to the maximum shade without the use of veneers will need to choose the Enlighten system.

This is the only brand that guarantees a shade B1 (the whitest shade teeth will naturally go without restorations).

Why choose to have your teeth professionally whitened?

Professional teeth whitening overseen by a dentist is the only guaranteed way to a safe treatment, and to results you will love.

Our dentists have been using Boutique and Enlighten for many years. They understand how to achieve the most successful results for patients using these teeth whitening protocols.

The Boutique and Enlighten brands contain safe levels of hydrogen peroxide and carbamide peroxide and use bespoke whitening trays to prevent the gels from frequently making contact with your soft tissues.

How long do the results last for?

The results vary from patient to patient depending on lifestyle choices. Typically, Enlighten and Boutique whitening can last for up to 3 years with annual top-ups. Avoid teeth-staining food and drink to prolong the results of treatment.

For more information regarding this treatment
Contact Us Or 020 8648 3888
Back to Cosmetic Dentistry

Get in touch

healthy shape1

Invisalign® smile design

Digitally enhanced. Naturally worn.

Online Booking Learn More

Dental care you love

View Our Treatments
General Dentistry

General Dentistry

Looking after all your dental needs.

Cosmetic Dentistry

Cosmetic Dentistry

The art of great dentistry is here.

Treatment - Lakewood Dental

Invisalign®

Start your Invisalign®  journey today.

Dental Implants

Dental Implants

Book a dental implant consultation with us.

Treatment - Lakewood Dental

Facial Aesthetics

Rediscover a beautiful new you.

General Dentistry

General Dentistry

Looking after all your dental needs.

Cosmetic Dentistry

Cosmetic Dentistry

The art of great dentistry is here.

Treatment - Lakewood Dental

Invisalign®

Start your Invisalign®  journey today.

Dental Implants

Dental Implants

Book a dental implant consultation with us.

Treatment - Lakewood Dental

Facial Aesthetics

Rediscover a beautiful new you.

thumb1 instagram
thumb2 instagram
thumb3 instagram
thumb4 instagram
thumb5 instagram
thumb6 instagram
View Our Instagram
Google Rating
5.0
Google Rating
Google-review