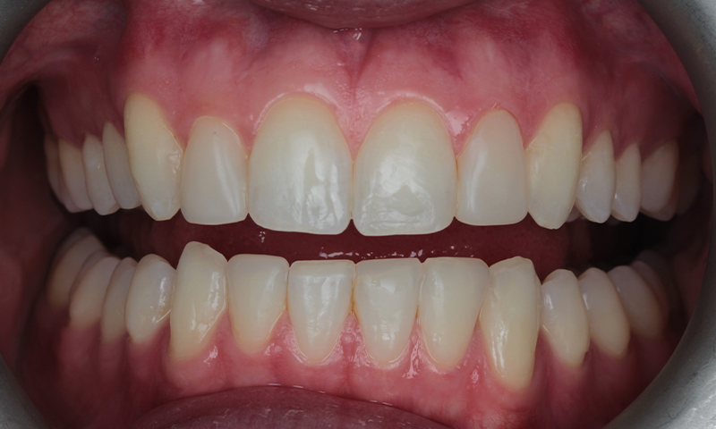
Before - Lakewood Dental After - Lakewood Dental

Case 35 - Invisalign & Composite Bonding

Read More
Before - Lakewood Dental After - Lakewood Dental

Case 49 - Teeth Whitening & Composite Bonding

Read More

Get in touch

lakewood dental icon

“Under New Management - Really impressed with what the new dental team are trying to accomplish here, they seem really...”

Home - Google Review

lakewood dental icon

“Very professional and knowledgeable dentists who care about their patients and take the time to explain how to improve their...”

Leah W - Google Review

lakewood dental icon

“I've had a few treatments at this surgery, Mr Patel is very gentle and reassuring. He explained everything to me...”

Claire L - Google Review

lakewood dental icon

“I've been a patient of the old practice for 30 years and was with the old dentist. I saw Neel...”

Farideen A - Google Review

lakewood dental icon

“Had the best experience at Lakewood dental. I saw Nadia Riveros for my jaw Botox. I've had headaches and tension...”

Roshni Patel - Google Review

View Our Testimonials
healthy shape1

Invisalign® smile design

Digitally enhanced. Naturally worn.

Online Booking Learn More

Dental care you love

View Our Treatments
General Dentistry

General Dentistry

Looking after all your dental needs.

Cosmetic Dentistry

Cosmetic Dentistry

The art of great dentistry is here.

Treatment - Lakewood Dental

Invisalign®

Start your Invisalign®  journey today.

Dental Implants

Dental Implants

Book a dental implant consultation with us.

Treatment - Lakewood Dental

Facial Aesthetics

Rediscover a beautiful new you.

General Dentistry

General Dentistry

Looking after all your dental needs.

Cosmetic Dentistry

Cosmetic Dentistry

The art of great dentistry is here.

Treatment - Lakewood Dental

Invisalign®

Start your Invisalign®  journey today.

Dental Implants

Dental Implants

Book a dental implant consultation with us.

Treatment - Lakewood Dental

Facial Aesthetics

Rediscover a beautiful new you.

thumb1 instagram
thumb2 instagram
thumb3 instagram
thumb4 instagram
thumb5 instagram
thumb6 instagram
View Our Instagram
Google Rating
5.0
Google Rating
Google-review